大家好,我是中医柳兴印。查出肝囊肿、肝硬化,最怕的就是病情进一步加重,到最后肝都保不住。给大家分享三个不起眼的叶子,煮水喝就能帮着扫清肝里的痰瘀,把肝囊肿、肝硬化的病情控制下来。

第一,桑叶。中医认为桑叶能平肝阳、清肝火、散瘀滞。而肝囊肿、肝硬化的病人,大多肝火旺、肝气郁结,时间长了就容易生痰生瘀,桑叶的寒凉之性刚好能清肝火,肝火一降,肝气就顺了,瘀堵的地方就能慢慢通开。而且桑叶不伤脾胃,就算是脾胃虚弱的人,适量喝也没啥负担。

第二,荷叶。荷叶能利湿,把肝里的湿浊化开,湿没了,痰就没了根。同时它能升发清阳,让肝气往上走,打破肝气郁结。另外,荷叶对于肝硬化早期的肝纤维化,能延缓其病情发展。

第三,橘叶。很多人不知道橘叶也能药用,但其实它可以疏肝行气、散结消肿,对于肝气郁结、痰瘀互结的肝病患者最为适用。有好多肝囊肿、肝硬化的病人,平时爱生气、胸口闷得慌,两肋胀疼,这就是肝气堵得表现。橘叶能打散肝里的痰瘀。而且橘叶的行气作用很温和,不会耗伤肝血,特别适合长期调理。

当肝气顺了,痰湿化了,瘀血就会越来越少,肝囊肿、肝硬化的病情就能被稳定住。不过这个小方不适合脾胃虚寒的肝病患者。
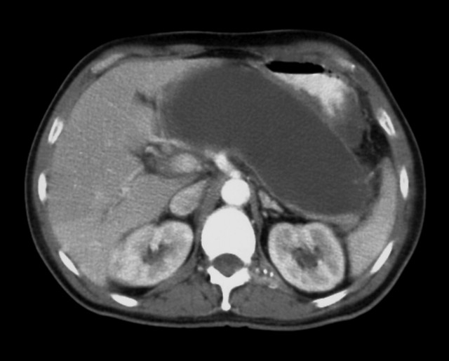
给大家分享一个患者病例,男,52岁,肝囊肿2.6 cm×1.8 cm, 肝硬化早期,肝实质回声增粗不均匀,来看诊的时候精神头特别差,脸色蜡黄,眼白也有点黄,说自己两肋胀得疼,尤其是生气之后,疼得更厉害,吃点东西就不消化,还总觉得浑身没力气。

患者脉象弦涩,舌苔白腻,舌边有瘀斑,这明显就是肝气郁结、痰瘀互结。在用药上,主要用了柴胡、香附、枳壳,这三味是疏肝行气的主力;陈皮、半夏、茯苓,是二陈汤的核心,把肝里的痰湿化掉;再加上赤芍、丹参活血化瘀,鳖甲软坚散结,对付肝囊肿和肝硬化的纤维化特别有效;延胡索、川楝子,缓解两肋疼痛;炒麦芽、神曲,缓解食胀不消化;当归、白芍,养血柔肝,避免行气药耗伤肝血;最后加了甘草,调和诸药。

调理了几个疗程,脸色红润了,眼白的黄气也退了,两肋不胀疼了,乏力、消化不良的问题也消失了。肝囊肿缩小到了1.5 cm×1.2 cm,肝实质回声也比之前均匀了,肝硬化的病情控制住了,没有往坏的方向发展。后面让患者用三叶配着煮水巩固调理。后期随访,患者身体没有出现明显不适。
好了,今天的内容就跟大家说到这里了,大家还有什么想知道的问题,可以在评论区留言。
评论列表