云霞资讯网
见微直播的文章
一氧化碳中毒高发期!哪些行为需高度警惕?
2025-12-16 17:21
见微直播
一氧化碳中毒高发期!哪些行为需高度警惕?
这类症状需注意!事关流感,武汉三甲医院呼吸专家最新提醒——
2025-12-16 16:01
见微直播
这类症状需注意!事关流感,武汉三甲医院呼吸专家最新提醒——
锁骨下留疤成为乳腺癌患者“心结” 湖北首例经腋入路胸壁无痕输液港植入术,让患者告别“伤痕印记”
2025-12-16 15:20
见微直播
锁骨下留疤成为乳腺癌患者“心结” 湖北首例经腋入路胸壁无痕输液港植入术,让患者告别“伤痕印记”
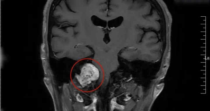
颅内肿瘤“蛰伏”10余年长到网球大小 武大人民医院多学科联手揪出精神障碍背后的“隐形炸弹”
2025-12-16 11:40
见微直播
颅内肿瘤“蛰伏”10余年长到网球大小 武大人民医院多学科联手揪出精神障碍背后的“隐形炸弹”
一阵剧烈咳嗽后右眼近乎失明 女子确诊这种眼病
2025-12-16 11:40
见微直播
一阵剧烈咳嗽后右眼近乎失明 女子确诊这种眼病
凶险肿瘤从脑干长至脊髓协和专家勇闯手术禁区精准“拆弹”,打通生命中枢
2025-12-16 11:10
见微直播
凶险肿瘤从脑干长至脊髓协和专家勇闯手术禁区精准“拆弹”,打通生命中枢
美籍华人万里归国求医 武汉专家巧施“晶体置换术”助其重获全程清晰视力
2025-12-16 11:01
见微直播
美籍华人万里归国求医 武汉专家巧施“晶体置换术”助其重获全程清晰视力
在家能挂专属专家号,还可“共享床位”“武汉都市圈妇幼健康共同体”成立
2025-12-15 18:01
见微直播
在家能挂专属专家号,还可“共享床位”“武汉都市圈妇幼健康共同体”成立
44 岁女子单眼突发白内障 竟与额头撞伤有关
2025-12-15 18:00
见微直播
44 岁女子单眼突发白内障 竟与额头撞伤有关
免疫力越强越好?关于免疫力的这些误区你中了几个
2025-12-15 15:01
见微直播
免疫力越强越好?关于免疫力的这些误区你中了几个
钟南山提醒:出现这些情况,立即就医
2025-12-15 15:01
见微直播
钟南山提醒:出现这些情况,立即就医
身体这些表现提醒你免疫力下降了 8个补救方法→
2025-12-15 11:10
见微直播
身体这些表现提醒你免疫力下降了 8个补救方法→
10岁女童两次大手术后再遇甲状腺癌打击 武大人民医院乳甲外科专家团队精准诊疗助其“身心共疗愈”
2025-12-14 13:00
见微直播
10岁女童两次大手术后再遇甲状腺癌打击 武大人民医院乳甲外科专家团队精准诊疗助其“身心共疗愈”
第一页
作者信息
见微直播
见微知著
分类: 社会
热门分类
体育赛事
小说频道
下载频道
推荐
热榜
军事
NBA
体育
社会
明星八卦
娱乐
财经
科技
汽车
历史
国际
游戏
动漫
公益
搞笑
商业
互联网
数码
国际足球
房产
家居
时尚
科学探索
职场
育儿
股票
教育
影视
情感
热点
中国军情
武器
中国南海
中国足球
亚洲杯
科比
综合体育
CBA
投资
楼市
大咖秀
外汇
创业
风口
SUV
豪车
概念车
优惠
新能源
美国
欧洲
朝日韩
俄罗斯
孕期
街拍
恋爱攻略
婚姻
正能量