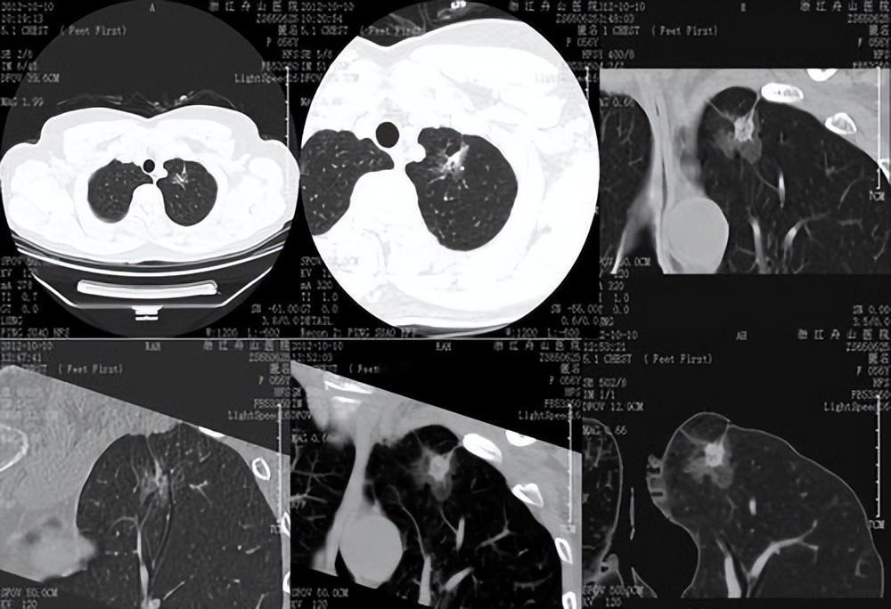
肺结节的 “善恶变形记”:一开始就坏,还是半路变心? 拿到肺结节报告时,很多人会疑惑:这小东西是天生恶性,还是后来 “变坏” 的?作为呼吸科医生,今天用通俗的话拆解答案。 其实两种情况都存在!部分结节从 “出生” 就是 “坏种子”—— 比如早期肺癌的原位癌结节,细胞一开始就带着恶性基因,只是初期长得慢、没症状,像潜伏的 “特务”。但更多结节是 “半路变心” 的:原本是良性的炎症、增生或良性肿瘤,长期在吸烟、空气污染、病毒感染等 “坏环境” 刺激下,细胞逐渐发生基因突变,慢慢从 “好公民” 变成 “癌细胞”。 关键区别在于结节的 “长相”:边界模糊、有分叶毛刺、密度不均匀的磨玻璃结节,可能是 “正在变坏” 或 “天生就坏” 的信号;而边界光滑、密度均匀的实性结节,多是良性 “老实人”。 但别恐慌!多数肺结节是良性的,即便有恶变风险,从 “良性” 到 “恶性” 可能需要几年甚至十几年。定期 CT 随访、及时干预,就能抓住 “变心” 的关键期,把风险扼杀在摇篮里。
