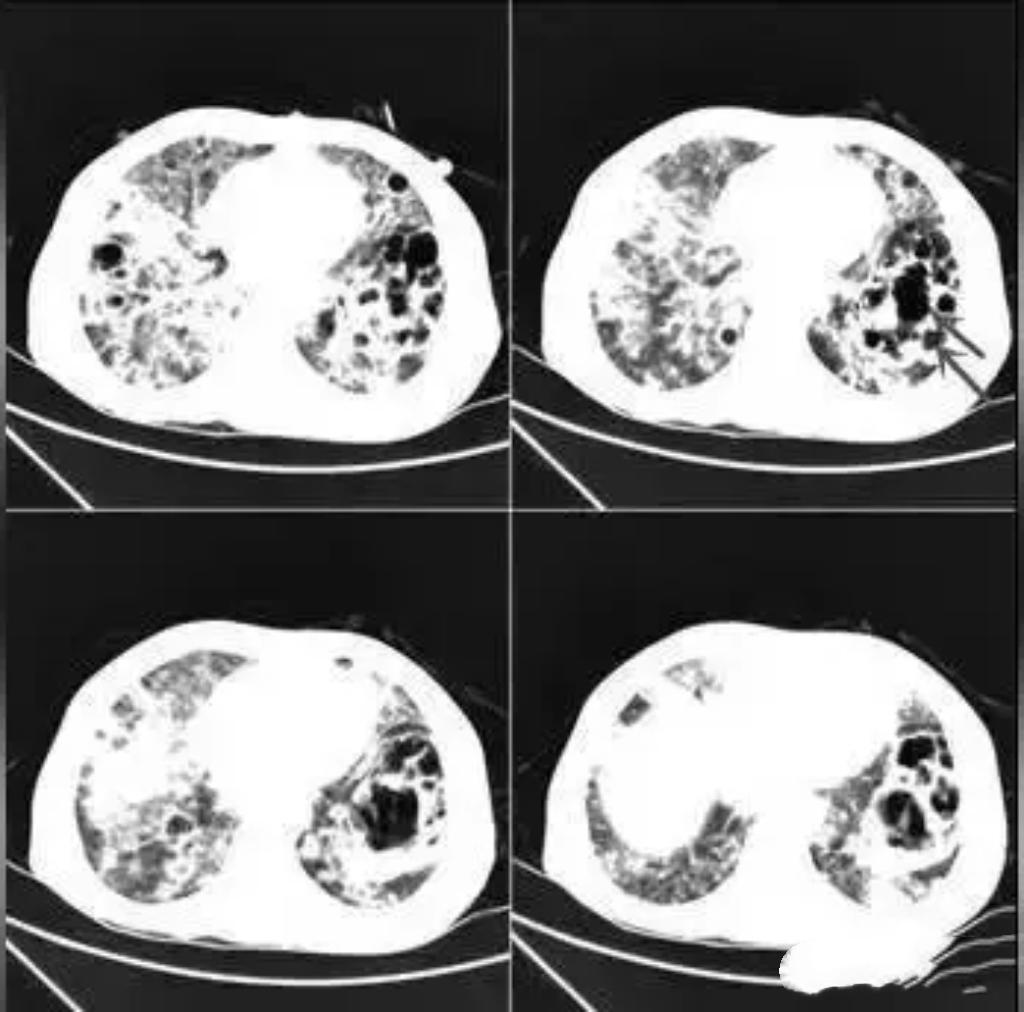
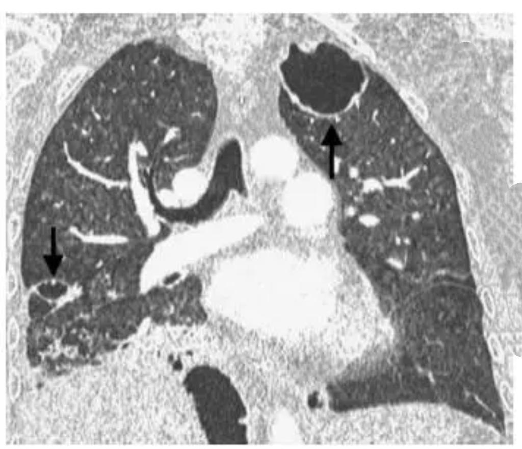
20岁男生小李长期熬夜、饮食不规律,免疫力下降,竟被结核杆菌“盯上”,肺部被“啃”出10多个空洞,咳嗽、发热、咯血等症状频发。所幸及时就医,经规范抗结核治疗,病情逐渐好转。提醒年轻人,务必重视健康,规律作息。



20岁男生小李长期熬夜、饮食不规律,免疫力下降,竟被结核杆菌“盯上”,肺部被“啃”出10多个空洞,咳嗽、发热、咯血等症状频发。所幸及时就医,经规范抗结核治疗,病情逐渐好转。提醒年轻人,务必重视健康,规律作息。



猜你喜欢
【1评论】【10点赞】
【4评论】【15点赞】
作者最新文章
热门分类
社会TOP
社会最新文章