日前,青岛市市立医院东院胸外科成功开展了一例经乳晕小切口单孔胸腔镜肺部分切除术,有效缓解了年轻患者因肺大疱及气胸引发的胸痛、胸闷与呼吸困难等症状。该术式以“厘米级的微小切口、几乎看不见的疤痕”为特点,将医院单孔胸腔镜技术微创理念推向新高度,兼顾功能保留与美容需求,为胸腔镜手术患者提供了更优选择。
乳晕处插入单孔胸腔镜
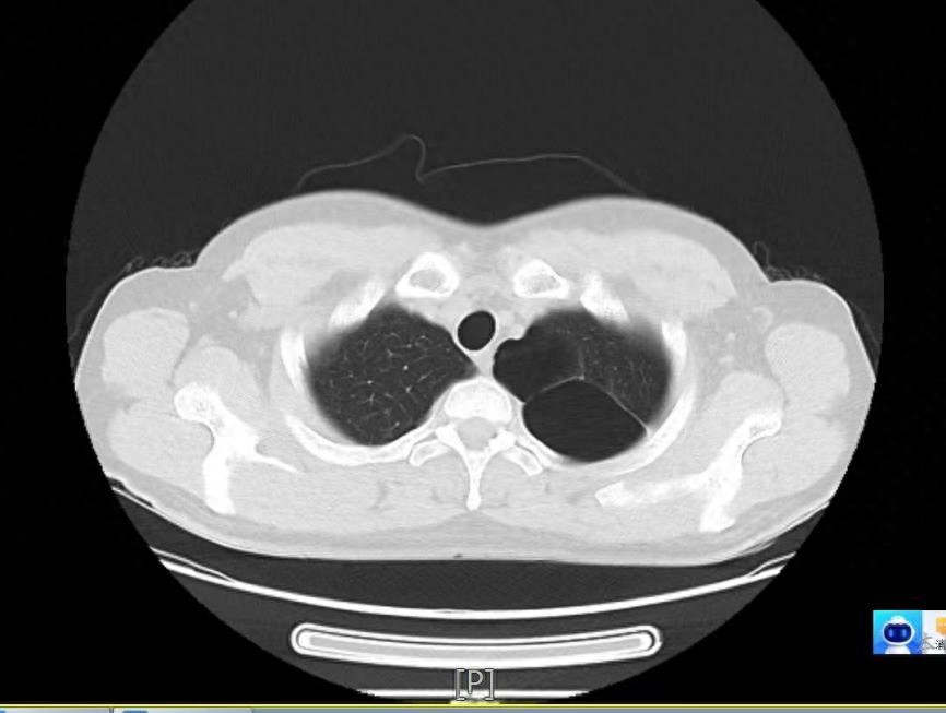
17岁的男性患者小王(化名)因反复左侧胸痛入院。胸部CT显示左肺多发肺大疱,左侧气胸。经全面检查,考虑患者气胸发作是由左肺上叶尖部明显的肺大疱破裂而引起。为避免气胸反复发作,团队决定为患者实施微创手术切除。

左肺肺大疱
考虑到患者年龄较小,传统手术会在胸部留下明显瘢痕,影响外观,东院胸外科主任张哲决定采用经乳晕单孔胸腔镜下左肺肺大疱切除修补术。
术中,在张哲指导下,谭林副主任医师与李飞主治医生巧妙利用乳晕天然皱褶作为手术入路,通过一个仅开在患者乳晕边缘、长度不足2厘米的微小切口,将胸腔镜器械精准探入胸腔内部。
利用人体天然色差实现手术切口的“视觉隐身”,不仅降低了术后瘢痕对患者心理的影响,还实现了术中无胸壁肌肉切断。患者术后第一天复查胸片未见明显胸腔积液积气,第二天拔除胸腔引流管并顺利出院。
单孔+无痕,创伤更小疼痛更轻
张哲介绍,相较于传统单孔胸腔镜手术,经乳晕单孔胸腔镜手术优势在于:
隐蔽性切口:乳晕区域皮肤颜色较深且存在天然皱褶,切口愈合后几乎不可见,尤其适合对美观要求高的患者(如年轻女性等)。
无可见瘢痕:相较于传统单孔手术(常选腋中线或肋间切口),乳晕切口避免了胸部或侧胸壁的明显瘢痕。
减少术后疼痛:乳晕周围肋间神经分布稀疏,相比肋间切口可显著降低术中神经损伤风险,术后疼痛更轻。
肌肉损伤小:入路可能避开胸壁肌肉(如胸大肌),进一步减少创伤。
从“有创”到“隐痕”的飞跃
近年来,经乳晕切口单孔胸腔镜肺部手术凭借创伤小、恢复快、美观度高等显著优势,成为备受瞩目的前沿技术。该技术因手术视野局限、操作难度极高,目前仅有为数不多的医疗机构能够开展。
经乳晕单孔技术的应用前景广阔,除肺大疱切除外,该技术还适用于肺癌根治术、肺结节切除、纵隔肿瘤切除及手汗症等多种胸部疾病手术。
随着ERAS理念的不断推广,东院胸外科团队在促进患者术后快速康复、减轻痛苦与心理恐惧、提升医院服务能力与质量方面持续发力。团队在原有精湛的单孔胸腔镜技术基础上,不断探索、创新与改良,致力于优化胸腔镜微创手术流程,推动术后快速康复,为患者提供更优质的医疗服务。
通讯员 谢小真