近期,青岛市市立医院本部呼吸与危重症医学科依托经硬质支气管镜冷冻肺活检技术的落地实施,为间质性肺疾病患者救治带来了精准诊断的曙光,助力临床治疗迈向更具针对性、有效性的新台阶。
“呼吸劫”迁延不愈 漫漫求医路
患者为一名老年女性,两个月前,她开始出现憋气症状,还伴有咳嗽。起初,她并未重视,自行服用了抗生素、止咳药,然而病情并未好转,憋气愈发严重,咳嗽也日益剧烈。此后,她频繁往返于多家医院,病情持续恶化,发展到后来,患者稍微活动就会憋气,严重影响了睡眠和进食,生活质量急剧下降。
在四处寻医无果、多方打听后,她了解到刘学东团队在肺部感染、间质性肺疾病及疑难危重症的诊治领域造诣深厚,辗转来到了本部呼吸与危重症医学科间质性肺疾病专病门诊,找到了负责间质性肺疾病的专家本部呼吸与危重症医学科副主任医师魏风芹。
刨根问底 探寻真相之路
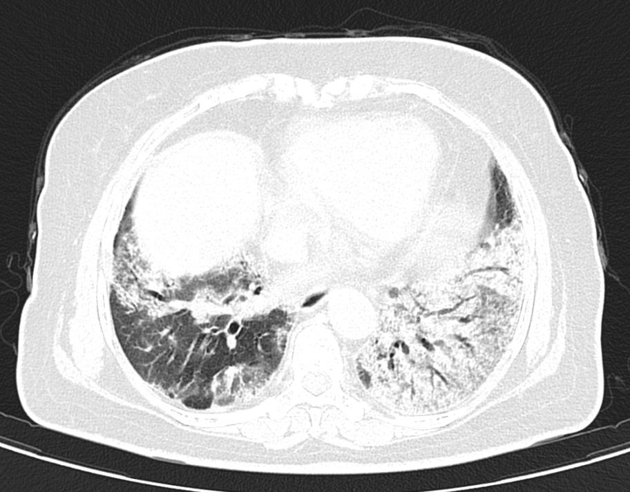
魏风芹对患者进行了详细病史询问及查体,结合患者院外的治疗过程、CT检查结果以及治疗后临床症状和肺部CT的进展情况,考虑“机化性肺炎可能性大”。但要明确诊断,就必须进行一些有创性操作,如肺穿刺活检或支气管镜检查,然而由于患者就诊时间较晚,肺底部已经出现纤维化,肺穿刺出现气胸的风险很大;而患者不动都感觉憋气,气管镜检查也面临着巨大挑战。


面对这一棘手情况,魏风芹请示了我院副总院长、国家临床重点专科建设项目呼吸与危重症医学中心学科带头人刘学东。刘学东迅速组织本部呼吸与危重症医学科主任韩秀迪、副主任医师魏风芹、副主任医师王毅等人展开详细讨论。经过慎重考虑,大家一致决定由副主任医师王毅为患者实施经硬质支气管镜下冷冻肺活检。
冷冻肺活检技术要求高,风险大,为确保手术顺利进行,支气管镜室配备了两位麻醉医师、三位护士,提前做好了充分的准备工作,并联系本部病理科做好活检组织的病理分析工作。最终,经过呼吸与危重症医学科、麻醉科及病理科的通力协作下,确诊该患者罹患一例罕见的“纤维化型机化性肺炎”。经治疗,患者症状好转并顺利出院。
冷冻肺活检——创新诊断的利器
冷冻肺活检是借助冷冻技术获取肺部组织样本做病理学检查的医疗方式。操作时,将小型冷冻探头经支气管镜插入远端细支气管,制冷剂使探头局部温度降至-80℃左右,利用冷冻形成的粘附力拔出探头及周围组织,获取标本。该技术主要用于诊断肺弥漫性疾病(如间质性肺病、尘肺病)、肺外周结节以及肺移植术后排斥反应等。
冷冻肺活检是肺部疑难疾病诊断领域的一项重要进展,正逐步在临床中得到广泛应用。该技术在支气管镜引导下完成,操作便捷,无需开胸,能获取足够的组织用于多种、多次检测;获取的组织标本质量高,可提高诊断准确性和诊断效能。