头痛是一种极为常见的症状,很多人都有过头痛的经历。偶尔的头痛可能是因为没休息好、压力大,睡一觉或者放松一下就好了。但要是头痛长期反复出现,可就会让人忧心忡忡,不少人甚至会担心:是不是脑袋里长瘤子了?今天,咱们就一起来深入探讨一下长期头痛和脑肿瘤之间的关系。

生活习惯因素
1、睡眠不足:长期熬夜、失眠,大脑得不到充分休息,就容易引发头痛。这种头痛往往是双侧头部的胀痛,像被紧紧箍住一样,多在晨起时较为明显。
2、饮食不当:摄入过多咖啡因,比如咖啡、茶、巧克力等,可能导致血管收缩异常,引发头痛;另外,酒精也会刺激脑血管,许多人在饮酒后第二天就会出现头痛症状。
3、压力过大:现代生活节奏快,工作、生活压力接踵而至。长期处于紧张、焦虑状态下,身体会分泌如肾上腺素等激素,这些激素会使肌肉紧张,尤其是颈部和头部的肌肉,进而引发紧张性头痛,疼痛通常是双侧头部的压迫感或紧束感。

疾病因素
1、偏头痛:偏头痛是一种常见的原发性头痛,多为单侧头部搏动性疼痛,常伴有恶心、呕吐、畏光、畏声等症状。发作前可能会出现视觉先兆,如眼前闪过亮光、黑点等。偏头痛具有反复发作的特点,每次发作可持续4 - 72小时。
2、高血压:血压长期升高,会使脑血管承受的压力增大,导致头痛。这种头痛通常是双侧头部的胀痛,在血压波动时更为明显,比如情绪激动、剧烈运动后,测量血压往往会发现血压超出正常范围。
3、鼻窦炎:鼻窦发生炎症时,会引起鼻窦内压力升高,导致头痛。疼痛部位与受累的鼻窦有关,比如额窦炎引起的头痛多在额头部位,上颌窦炎的头痛多在面颊部,且疼痛有一定的时间规律,晨起时较轻,午后加重。

脑肿瘤确实可能导致头痛,但和常见的头痛原因相比,脑肿瘤引发的头痛有一些特殊表现。脑肿瘤生长会占据颅内空间,导致颅内压升高,从而引起头痛。这种头痛通常在早晨起床时较为严重,随着活动可能会稍有缓解,但总体上呈进行性加重。而且,除了头痛,还可能伴有其他症状。
1、视力下降:肿瘤压迫视神经,可导致视力逐渐下降,看东西越来越模糊,严重时甚至可能失明。
2、呕吐:多为喷射性呕吐,与进食无关,常在头痛剧烈时发生,呕吐后头痛可能会稍有减轻。
3、身体四肢没劲儿:如果肿瘤影响到大脑控制肢体运动的区域,会出现一侧肢体无力、麻木,活动不灵活,甚至走路不稳。
4、癫痫发作:部分脑肿瘤患者会出现癫痫症状,表现为突然的意识丧失、肢体抽搐、口吐白沫等。

如果长期头痛,不要自己瞎猜测,一定要及时去医院就诊。医生一般会进行详细的问诊,了解头痛的具体情况,如疼痛的部位、性质、程度、发作频率、持续时间,以及是否伴有其他症状等。然后,可能会安排一些检查。
1、体格检查:包括神经系统检查,查看是否有神经功能异常,如肢体肌力、感觉、反射等是否正常。
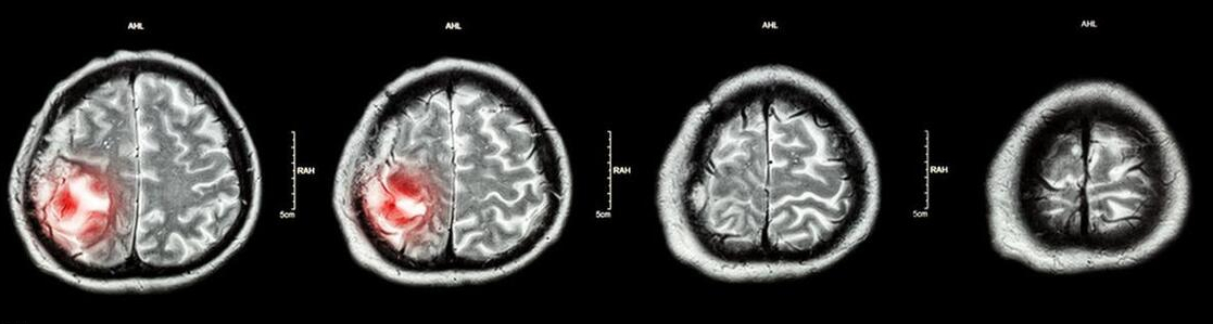
2、影像学检查:头颅CT能快速发现脑部是否有明显的占位性病变;而磁共振成像(MRI)对软组织的分辨力更高,能更清晰地显示肿瘤的位置、大小、形态以及与周围组织的关系,是诊断脑肿瘤的重要手段。

总结
长期头痛并不一定意味着长了瘤子,大部分情况下是由生活习惯、常见疾病引起的。但也不能掉以轻心,如果头痛伴有视力下降、呕吐、肢体无力、癫痫发作等异常症状,一定要及时就医检查,以便早期发现可能存在的严重疾病,及时治疗。保持健康的生活方式,规律作息、合理饮食、适当运动,有助于预防头痛的发生。