大多数正在研发中的癌症疫苗旨在通过激活肿瘤抗原特异性T细胞来发挥作用。由于树突状细胞(DC)是加工处理抗原并呈递给T细胞的最关键细胞,基于负载肿瘤抗原的DC疫苗已成为极具前景的免疫治疗策略。
DC细胞与NK细胞相互作用
树突状细胞是人体内功能最强大的抗原呈递细胞,堪称免疫系统的“指挥官”。它的核心职责是识别、捕获肿瘤细胞特有的抗原,经过加工后,“呈递”给T细胞,并下达精确的“攻击指令”。DC疫苗技术,就是从患者体内采集单核细胞,在体外诱导、扩增成DC细胞,并用肿瘤特异性抗原进行“武装”和激活,再回输到患者体内。这个过程,相当于为免疫系统提供了一份精准的“癌细胞通缉令”,教会T细胞如何特异性识别并清除肿瘤。
有研究证明DC细胞与NK细胞之间的双向交互作用,DC细胞能够激活NK细胞并增强其抗肿瘤免疫,NK细胞可作为DC-T细胞相互作用的调节介质,从而增强癌症-免疫循环的效能。
自然杀伤细胞是固有免疫的核心力量,是无需预先训练就能投入战斗的“先锋部队”。它们不依赖于特定的抗原识别,可以直接感知并攻击那些表面特征异常的细胞,包括癌细胞。NK细胞通过释放穿孔素、颗粒酶等武器,直接诱导肿瘤细胞凋亡,同时分泌干扰素-γ(IFN-γ)等细胞因子,调动整个免疫系统的活性。
国际研究证实联合疗法潜力
近年来,多项发表在国际期刊上的研究,为这种联合疗法提供了实证。
子宫内膜癌转移完全缓解
2024年3月,一项发表在《Cureus》 的病例报告显示,WT1-DC疫苗、NK细胞联合免疫检查点抑制剂(纳武利尤单抗)的治疗可能在预后极差且标准治疗选择较少的患者中带来有益的临床效果。
一位30多岁的女性患者,确诊时已是IV期子宫内膜癌,伴有腹膜、肝、肺、骨多处转移和大量腹水。在常规化疗效果有限的情况下,她接受了WT1-DC疫苗、高活性NK细胞联合免疫检查点抑制剂(纳武利尤单抗)的治疗。经过几个疗程,影像学复查显示,其肺转移灶和腹膜播散灶完全消失,肝转移灶显著缩小,腹水明显减少。

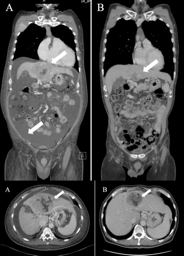
肝细胞癌肿瘤控制与腹水消退
2024年8月,《Cureus》 发表的一例肝细胞癌患者报告揭示了联合免疫疗法对于晚期肝细胞癌患者和肝储备功能差的患者的潜在效果。
这位61岁晚期肝细胞癌男性患者,伴有多发淋巴结转移、多肺转移和骨转移。采用靶向WT1及α-半乳糖神经酰胺的DC疫苗,联合NK细胞及纳武利尤单抗的三联方案后,患者肿瘤缩小,腹水消失。

这些案例共同揭示了一个趋势:对于部分传统治疗无效、复发或晚期的实体瘤患者,DC-NK联合疗法可能成为一种能够逆转病情、改善生活质量、甚至赢得长期生存的“桥梁”或“利器”。
DC-NK联合疗法目前主要探索应用于实体瘤,如肝癌、胃癌、胰腺癌、卵巢癌、肺癌、乳腺癌等,尤其在晚期、复发转移或对标准治疗不敏感的患者中显示出价值。
结语
DC疫苗联合NK疗法是一种充满前景但仍在不断探索中的武器,为晚期患者提供了一个新的、有科学依据的选择方向。目前该联合疗法多数处于临床研究阶段,已发表的早期临床数据显示出良好的安全性和令人振奋的疗效趋势,特别是在疾病控制率、生活质量和长期生存方面。然而,如同所有新兴疗法,其长期疗效和大规模人群数据仍需更多临床试验来验证。